sunbet中文官网
中文
|
English
搜索
sunbet中文官网
关于我们
返回
公司简介
资质证书
社会责任(愿景)
合作客户
小动物技术服务
返回
消化系统
返回
呼吸系统
返回
神经系统
返回
心血管系统
返回
内分泌代谢/免疫系统
返回
骨科系统
返回
皮肤系统
返回
肿瘤模型
返回
炎症/疼痛模型
返回
自身免疫疾病模型
返回
大动物技术服务
返回
骨科类
返回
皮肤类
返回
心胸外科类
返回
肿瘤类
返回
影像服务类
返回
医疗器械评价
返回
医美产品有效性评价
量效关系和能量安全研究
美容仪检测服务
医疗器械植入试验
医疗器械生物相容性测试
功能实验室
返回
动物平台
返回
细胞平台
返回
生化检测平台
返回
病理检测平台
返回
分子与蛋白平台
返回
行为学平台
返回
仪器展示
返回
产品中心
返回
细胞
返回
抗体
空白基质
饲料垫料
新闻中心
联系我们
sunbet中文官网
关于我们
返回
公司简介
资质证书
社会责任(愿景)
合作客户
小动物技术服务
返回
消化系统
返回
呼吸系统
返回
神经系统
返回
心血管系统
返回
内分泌代谢/免疫系统
返回
骨科系统
返回
皮肤系统
返回
肿瘤模型
返回
炎症/疼痛模型
返回
自身免疫疾病模型
返回
大动物技术服务
返回
骨科类
返回
皮肤类
返回
心胸外科类
返回
肿瘤类
返回
影像服务类
返回
医疗器械评价
返回
医美产品有效性评价
量效关系和能量安全研究
美容仪检测服务
医疗器械植入试验
医疗器械生物相容性测试
功能实验室
返回
动物平台
返回
细胞平台
返回
生化检测平台
返回
病理检测平台
返回
分子与蛋白平台
返回
行为学平台
返回
仪器展示
返回
产品中心
返回
细胞
返回
抗体
空白基质
饲料垫料
新闻中心
联系我们
中文
|
English
大动物技术服务
骨科类
兔骨折模型
骨缺损模型
皮肤类
兔耳痤疮模型
皮肤瘢痕模型
Ⅰ型糖尿病皮损模型
深II度烫伤模型
全层皮肤损伤模型
心胸外科类
兔动脉粥样硬化模型
比格犬主动脉弓缩窄(TAC)模型
猪心梗模型
肿瘤类
肝癌模型
脑胶质瘤模型
影像服务类
超导磁共振
PET-CT
心电监测
X射线成像
您当前的位置:
大动物技术服务
>
皮肤类
>
全层皮肤损伤模型
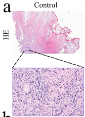
全层皮肤损伤模型
全层皮肤损伤模型
READ MORE